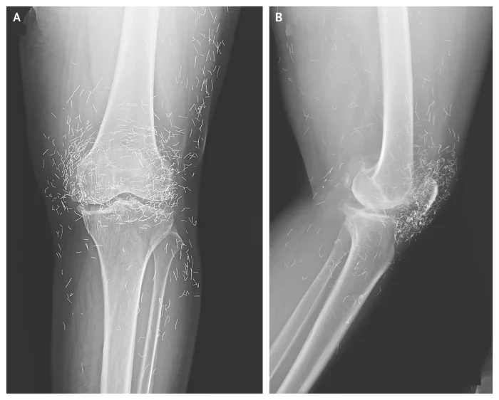
A routine X-ray revealed an unexpected surprise when doctors examined the knees of a 65-year-old woman suffering from severe joint pain. What they found was nothing short of astonishing — hundreds of tiny gold needles embedded deep in her tissue.
The woman, from South Korea, had been battling osteoarthritis for years. The painful condition breaks down cartilage and bone inside the joints, leading to stiffness and swelling. When standard treatments such as painkillers and anti-inflammatory medications failed to provide relief — and instead caused stomach problems — she turned to a popular alternative: acupuncture.
Acupuncture, a traditional therapy widely used in Asia, involves inserting thin needles into specific points on the body in an effort to relieve pain or treat illness. In this case, however, doctors say the gold needles were left behind intentionally as part of her treatment plan, designed to deliver continuous stimulation to the affected area.
But experts warn this practice could come with serious risks. Dr. Ali Guermazi, a radiology professor at Boston University who was not involved in the case, explained that leaving foreign objects in the body can trigger inflammation, infection, or even abscesses.

“The human body doesn’t like foreign material,” Guermazi said. “It reacts with defense mechanisms — starting with inflammation and forming fibrous tissue around the object.”
There are other complications as well. Needles lodged in tissue can interfere with medical imaging. “They can obscure parts of the anatomy on an X-ray,” Guermazi noted. Even more alarming, patients with metal fragments in their bodies should never undergo an MRI, as the magnetic force could cause the needles to move — potentially puncturing blood vessels and causing life-threatening damage.

Despite these dangers, acupuncture remains a common practice in many countries, particularly for joint pain. In some Asian nations, including South Korea, gold thread implants and needle insertions are considered routine treatments for arthritis. Advocates claim the metal provides long-lasting benefits, but scientific evidence proving its effectiveness is limited.
The procedure has also gained traction in the United States, though on a much smaller scale. According to the National Institutes of Health, about 3.1 million American adults and 150,000 children received acupuncture treatments in 2007.

A X-ray of the patient’s knee showing acupuncture needles embedded in the tissue, Photo Credit: Reddit
As for the South Korean woman, her case was recently documented in the New England Journal of Medicine. While the needles may have been intended to help, her X-rays tell a cautionary tale about the potential risks of extreme alternative therapies.